Пятна, налет от кофе на зубах: как отбелить средствами из аптеки?
Аптечными средствами:
Отбеливающие зубные пасты в сочетании с жесткими щетками.
Электрическая зубная щетка. Большая скорость позволяет сделать тщательную очистку зубов за короткое время от свежего желтого налета.
Отбеливающие полоски. Эффективный, но очень дорогостоящий способ. Для отбеливания, достаточно наклеить полоски на зубы, подержать 30 минут. Результат достигается после 2-х недельного применения.
Гели для отбеливания зубов. Безопасное и доступное средство. Нанесите на чистую поверхность зубов. Постепенно гель растворится. Наносится ежедневно, до получения желаемого результата. Но не более 2-х недель подряд.
Отбеливающие капы. Очень эффективное средство. Отбеливает самую застаревшую желтизну
Применять следует очень осторожно. Строго по инструкции
Передозировка может привести к уничтожению эмали.
Стики для отбеливания. Мягкое отбеливающее средство. Более подходит для предотвращения налета. Применяют, чаще всего, после непосредственного употребления кофе, для снятия свежего налета
Как отбелить зубы от пятен после кофе?
Несмотря на то, что в сети встречается множество рекомендаций, начиная от соды или кислоты, и заканчивая перекисью водорода, рекомендуется все же пройти чистку у стоматолога, и поговорить с ним о средствах, которыми вы сможете пользоваться самостоятельно. Существуют отбеливающие пасты, жевательная резинка, капы с отбеливателем и прочее. Но чтобы не повредить эмаль, нужно подбирать подходящее средство со специалистом. Не стесняйтесь обсудить даже способы домашнего отбеливания. Стоматолог расскажет, что вам может подойти, а что нет. И в любом случае, профессиональное отбеливание будет более качественным и щадящим.
Пятна, налет от кофе на зубах: как отбелить народными средствами?

Множество вариантов отбеливания эмали зубов Не слишком большой налет можно убрать самостоятельно.
При помощи народных средств:
- Пищевую соду втирайте зубной щеткой или ваткой в твердую ткань зубов. Прополощите рот теплой водой.
- Разотрите таблетку активированного угля. Ополосните полость рта. Почистите зубы с углем обычным способом.
- Почистите зубы и прополощите перекисью. Повторяйте процедуру 2 недели. Будьте осторожны. Отбеливание таким способом может привести к частичному растворению эмали.
- Протрите зубы клубникой, яблоком или лимонной кожурой. Почистите их фторсодержащей зубной пастой. Применяйте такое отбеливание не чаще одного раза в две недели. Кислота содержащаяся в этих продуктах может привести к истончению эмали.
Профессиональное удаление зубного камня
Наиболее современный, эффективный и щадящий способ удаления зубного камня – это ультразвуковая чистка. Проводится она в стоматологических клиниках. На подобных процедурах специализируются врачи-гигиенисты или пародонтологи.
Перед проведением ультразвукового удаления зубного камня врач, руководствуясь главным медицинским принципом «Не навреди!», проводит оценку состояния полости рта пациента. Определяет, нет ли противопоказаний. Подбирает подходящую по размеру насадку на аппарат ультразвуковой чистки.
Во время ультразвукового воздействия структура минерального налёта разрушается. Причём в большинстве случаев это происходит изнутри. Зубной камень просто отваливается от поверхности эмали, выпадает из пародонтальных карманов и межзубных промежутков.
После этого эмаль полируется. Это необходимо для того, чтобы предотвратить появление зубного налёта на длительное время. Результат не только заметен – он буквально ощутим. Можно провести языком по поверхности эмали – она будет чистой, гладкой и тактильно приятной.
Если зубной камень проник глубоко в пародонтальные карманы или привёл к нарушению целостности эмали, вызвав повышенную чувствительность, то стоматолог также может применить местную анестезию. Это нужно, чтобы процедура комфортной и безболезненной для пациента.
Как пить кофе, чтобы зубы не желтели?

Может быть кофе наслаждаться через трубочку? Как уже было сказано выше, основной причиной изменения цвета эмали является налет и микротрещины.
Поэтому предотвратить пожелтение зубов поможет только тщательная профилактика:
- Исключите контрастный прием кофе с мороженым или холодной водой.
- Чистите зубы после каждого употребления напитка.
- Применяйте зубную нить для тщательного очищения щелей между зубами.
- При отсутствии условий почистить зубы после кофе — съешьте яблоко. Оно отлично очищает поверхность зубов от свежего налета, окрасившегося от употребления кофейного напитка.
- Жуйте жевательную резинку, с отбеливающим эффектом, после приема кофе. Это поможет хотя бы ненадолго задержать размножение микробов, способствующих появлению налета на зубах.
- Используйте ополаскиватель для зубов с этой же целью.
- Запейте кофе мягкой водой. Она смоет пигмент, и предотвратит появления некрасивого налета.
Пятна, налет от кофе на зубах: как отбелить народными средствами?

Множество вариантов отбеливания эмали зубов Не слишком большой налет можно убрать самостоятельно.
При помощи народных средств:
- Пищевую соду втирайте зубной щеткой или ваткой в твердую ткань зубов. Прополощите рот теплой водой.
- Разотрите таблетку активированного угля. Ополосните полость рта. Почистите зубы с углем обычным способом.
- Почистите зубы и прополощите перекисью. Повторяйте процедуру 2 недели. Будьте осторожны. Отбеливание таким способом может привести к частичному растворению эмали.
- Протрите зубы клубникой, яблоком или лимонной кожурой. Почистите их фторсодержащей зубной пастой. Применяйте такое отбеливание не чаще одного раза в две недели. Кислота содержащаяся в этих продуктах может привести к истончению эмали.
Пятна, налет от кофе на зубах: как отбелить народными средствами?
Множество вариантов отбеливания эмали зубов
Не слишком большой налет можно убрать самостоятельно.
При помощи народных средств:
- Пищевую соду втирайте зубной щеткой или ваткой в твердую ткань зубов. Прополощите рот теплой водой.
- Разотрите таблетку активированного угля. Ополосните полость рта. Почистите зубы с углем обычным способом.
- Почистите зубы и прополощите перекисью. Повторяйте процедуру 2 недели. Будьте осторожны. Отбеливание таким способом может привести к частичному растворению эмали.
- Протрите зубы клубникой, яблоком или лимонной кожурой. Почистите их фторсодержащей зубной пастой. Применяйте такое отбеливание не чаще одного раза в две недели. Кислота содержащаяся в этих продуктах может привести к истончению эмали.
Как отбелить зубы
Примерно 85% налёта удаляется при помощи обычной щётки и зубной пасты. Но это касается только зубов со здоровой эмалью и в случае удаления налёта ежедневно. Если нерегулярно чистить зубы и недостаточно тщательно ухаживать за полостью рта, образовывается твёрдый налёт, который удаляется только с помощью стоматолога. В настоящее время существует много паст для отбеливания, народных средств для борьбы с налётом и профессиональных видов стоматологических чисток.
Существует много зубных отбеливающих паст, например:
- «Colgate Optic White».
- «Новый Жемчуг — Отбеливающая».
- «Blendamed 3D White LUXE».
- «SILCA Arctic White».
- «ROCS — Сенсационное отбеливание».
Эти средства при регулярном применении довольно эффективны в борьбе с налётом от красителей. Для усиления эффекта пасты можно пользоваться электрической щеткой. А также применять специальные средства для удаления налёта.
К ним относятся:
- гель-отбеливатель;
- отбеливающие полоски;
- стики;
- каппы с отбеливающим составом;
- карандаш.
Эти средства используются для снятия свежего налёта. Чтобы убрать желтый налёт применяется множество народных методов. Самые популярные из них:
- порошок куркумы, смешанный с небольшим количеством воды;
- внутренняя сторона банановой шкурки;
- масло чайного дерева;
- мякоть клубники, груши или яблока;
- лимонный сок;
- перекись водорода трёхпроцентная;
- измельчённый в порошок активированный уголь;
- сода пищевая.
Этими веществами просто протирают поверхность зубов или обрабатывают ими эмаль при помощи щётки. Если не удалось самостоятельно справиться с налётом, рекомендуется обратиться в стоматологическую клинику.
В стоматологической клинике представлены различные процедуры по очистке от налёта:
- химическое отбеливание с применением высокой концентрации перекиси водорода;
- ультразвуковое снятие;
- осветление при помощи воздушно-образивных систем;
- фотоотбеливание лазером;
- ультрафиолетовое Zoom-отбеливание с активирующим гелем.
Людям с тонким слоем эмали или повышенной чувствительностью зубов, лучше воздержаться от подобных мероприятий.

Пьем бодрящий напиток правильно
Многое зависит не только от качества самого кофе. Чтобы минимизировать вред, необходимо соблюдать некоторые рекомендации, это позволит сохранить нормальный оттенок эмали на долгий период времени:
Не рекомендуется пить горячий напиток. После заварки должно пройти минимум десять минут, это также полезно для желудочно-кишечного тракта.
Лучше пить кофе без сахара или добавить его совсем немного. Сахар образует на эмали темную пленку, которая затем способствует размножению и распространению микробов.
Не стоит добавлять в напиток мороженое
Изменения температурного режима травмируют оболочку зубов и вызывают микротрещины.
После выпитой кружки кофе для профилактики налета важно при помощи ополаскивающего раствора очистить рот. Если при себе нет подобных средств, стоит ополоснуть ротовую полость теплой водичкой.
Нельзя сочетать кофеин с табаком
В результате сильно желтеют зубы, приобретая в дальнейшем оранжевый оттенок. Развиваются другие опасные патологии.
Советы простые, но их соблюдение служит залогом здоровья!
Как сигареты влияют на зубы
Можно выделить основные симптомы заболевания полости рта, которые проявляются у курильщиков:
- десна становятся бледно-розовыми;
- ткани пародонта не воспалены;
- пришеечные поверхности зубов покрыты темно-коричневым налетом;
- возможно появление неприятного запаха изо рта.
Виды сигаретного налета
Налет, возникающий вследствие курения, различается по цвету:
- Белый налет образуется на протяжении дня или ночью. Это мягкий налет, появлению которого также способствует употребление пищи. Он не опасен для здоровья и легко устраняется при тщательной чистке зубов.
- Зеленый налет является следствием деформации пелликулы или воздействия хромогенного грибка.
- Желтый и коричневый налет – свидетельство пристрастия к сигаретам, крепкому кофе или чаю. Он образуется из-за воздействия пигментов, содержащихся в дыме или продуктах. Убрать пятна или удалить налет от сигарет на зубах полностью под силу лишь стоматологам. Потребуется профессиональная чистка и отбеливание.
- Черный налет. Зубы чернеют от сигарет, если во время не было остановлено развитие процессов, которые приводят к желтому и серому налету.
Как кофе помогает победить кариес
Для некоторых из нас кофе — это ежедневная потребность, но кофе особенно важно для жителей Ливана. Каждый житель Ливана выпивает, в среднем, 4,8 килограмма кофе в год, и это самый наивысший показатель потребления кофе среди стран Ближнего Востока
Но, вы, возможно, обеспокоены тем, как может повлиять утренняя чашка кофе на здоровье ваших зубов. К счастью, употребление кофе в умеренных количествах на самом деле оказывает положительное влияние на здоровье вашей полости рта: исследования показывают, что кофе без добавок препятствует оседанию бактерий на зубах, вызывающих кариес, с вероятностью до 98%.
Чем убрать налет на зубах после курения?
Заядлые курильщики всегда имеют желтый или коричневый оттенок эмали. Это нарушает общую эстетику, заставляет задумываться о том, чем убрать налет на зубах после курения и можно ли это сделать в домашних условиях. Любые зубные отложения — это очаг инфекции, способной распространиться на рядом расположенные ткани. Поэтому к налету от сигарет стоит относиться ответственно и использовать все возможные способы его устранения.

В идеале лучше отказаться от курения. Никотин, смолы и другие химические соединения отрицательно влияют на здоровье полости рта, дыхательной системы, повышают риск развития тяжелых инфекционных заболеваний. Но не все могут отказаться от многолетнего курения
В таком случае важно регулярно посещать стоматолога и использовать методы, которые позволяют без вреда для здоровья убрать налет на зубах после курения
Консультация гигиениста
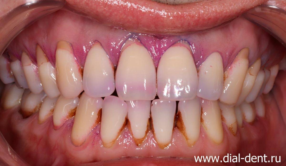
До этого обращения молодой человек еще ни разу не был у гигиениста, но слышал от знакомых, что при помощи профессиональной чистки зубов можно убрать самые стойкие пятна без повреждения эмали. Гигиенист Татьяна Кондратьева провела осмотр, выяснила, что молодой человек не курит, но пьет много кофе. Темные пятна на зубах – это пигментированный зубной налет. Пигментные вещества из кофе и крепкого чая окрашивают твердый налет на зубах, и эти пятна очень сложно очистить домашними средствами.
На внутренней поверхности зубов образовался зубной камень, который отдавливает десну от зубов, открывая инфекции путь к корням зубов, нарушая кровообращение в деснах. Зубной камень является причиной неприятного запаха изо рта.

Гигиенист нанесла на зубы пациента индикатор зубного налета, чтобы выяснить результативность самостоятельной гигиены.

Окрашивание в фиолетовый цвет вдоль десен показывает, что эти места надо чистить более тщательно. Передние зубы немного больше по размеру, чем соседние, поэтому молодой человек не захватывает верхушки зубов при чистке. На эти места надо обратить больше внимания, производя при чистке смахивающие движения щеткой, от десны к краю зубов, захватывая и поверхность десны тоже.
Определение кислотности слюны помогает выявить риск развития кариеса и необходимость более частого посещения стоматолога для осмотра. В данном случае кислотность слюны слабощелочная, повышенного риска кариеса нет.

Препараты для домашнего отбеливания
Если вы употребляете кофейный напиток, то, наверное, интересуетесь, как убрать пятна от кофе на зубах (методы устранения описаны в этой статье). При легком повреждении эмали можно использовать отбеливание в домашних условиях с помощью специальных препаратов. Для этих целей подойдут специальные зубные пасты, пластинки, а также капы.
Очень эффективным методом укрепления зубной эмали в домашних условиях является ношение кап. Такое изделие представляет собой особую пластину, которая заполнена укрепляющим и отбеливающим составом. Капа позволяет обеспечить максимальный контакт зубов и действующего вещества, поэтому и обладает столь прекрасным эффектом. Для того чтобы изделие действительно подействовало, использовать его нужно ежедневно в течение нескольких часов.

Как удалить налет от кофе на зубах в домашних условиях
Лучшей профилактикой образования кофейного налета и зубного камня будет комплексная регулярная гигиена полости рта.
Ежедневная чистка
Использование щетки — отличный способ механически убрать накопившийся налет, еще до того, как он превратиться в камень. Чистку необходимо производить не реже, чем два раза в день, а по возможности — после каждого значительного приема пищи (завтрака, обеда, ужина).
На каждый зуб должно быть около 20 движений. Сначала очистите от налета внешнюю сторону: поверните щетку по направлению от десен к режущему краю, далее отполируйте эмаль круговыми движениями. После перейдите к жевательной поверхности и внутреннему краю боковых зубов. После всего очистите язык и хорошенько прополощите рот. Такая процедура не только избавит от налета, но и предотвратит появление камней.
Зубная нить
Нить (флосс) поможет справиться с отложениями в труднодоступных для щетки местах. Натяните ее между указательными пальцами и аккуратно введите в пространство между зубами, удаляйте налет поступательными движениями.
Зубная паста
Чтобы ежедневное удаление налета и желтизны было максимально эффективным — используйте специализированные пасты. Например, «АСЕПТА PLUS» КОФЕ И ТАБАК. Она поможет сохранить белизну улыбки, устранит негативные последствия от курения и употребления кофе и обеспечит свежее дыхание.
Преимущества «АСЕПТА PLUS»:
- высокоактивные абразивы бережно и эффективно отбелят эмаль, давая длительный устойчивый результат.
- растительные экстракты ускорят процесс восстановления и успокоят десны;
- ароматизаторы сделают дыхание свежим.
Новости
8 октября
Чудесное преображение подростка в результате грамотного ортодонтического лечения
При сложных нарушениях прикуса к брекет-системе добавляются другие ортодонтические аппараты. В таких случаях очень важен опыт ортодонта, знания, умение сочетать различную аппаратуру. В работе “Исправление прикуса: лингвальные брекеты + аппарат Гербста” ортодонт О.А. Баранова использовала возможности периода активного роста у подростка и комбинацию внутренних брекетов Incognito с аппаратом Гербста. Результат – полное преображение улыбки, гармония лица и счастье пациента.
29 сентября
Защита зубов для баскетболистов
Защита зубов нужна не только спортсменам, которые занимаются боевыми видами спорта, но и тем, кто играет в баскетбол, водное поло, регби. Капа для зубов защищает не только зубы от сколов, переломов и прочих последствий случайных ударов в область лица, но и предупреждает травмы губ и щек о зубы. О возможностях защитной индивидуальной капы для зубов рассказывается в статье “Профилактика травм зубов в баскетболе с помощью спортивных кап”.
22 сентября
Исправление прикуса в любом возрасте
В нашем ортодонтическом отделении работают врачи-ортодонты с большим опытом исправления прикуса у детей и взрослых. Умение работать с различными видами аппаратуры (все виды брекетов, капы для исправления прикуса, аппараты ALF, FAGGA, Марко-Росса, Гербста и другие) и их комбинаторное использование позволяют успешно решать достаточно сложные случаи нарушений прикуса. Подробнее об ортодонтическом отделении “Диал-Дент” читайте тут. Примеры исправления прикуса от наших специалистов смотрите .
15 сентября
Замена расколовшегося зуба коронкой на импланте
Если зуб раскололся так, что его не спасти, принимается решение об удалении зуба, но сразу надо подумать как этот зуб заменить. При решении замены расколотого зуба на имплант можно сделать это одновременно (одномоментная имплантация), то есть поставить имплант в лунку удаленного зуба и сократить тем самым время до окончательного протезирования, а также нервы и деньги. Подробно такой случай рассмотрен в работе “Раскол зуба и одномоментная имплантация”.
9 сентября
Помощь ЛОР врача в сезон простуд
В нашем центре ведет прием кандидат медицинских наук ЛОР-врач Архандеев Андрей Валерьевич. Консультация проводится с эндоскопом, используется новейшее ЛОР оборудование от компании ATMOS (Германия). Ингаляции, орошения и другие медицинские процедуры помогут быстрее справиться с простудами и обострениями хронических заболеваний. Подробнее о приеме ЛОРа читайте тут.
все новости
Как избавится от налета кофе на зубах
Многие не могут представить свое утро без горячего бодрящего напитка. Кажется, что кофе способен творить чудеса и буквально возвращать к жизни. Постепенно организм привыкает к любому воздействию, поэтому, чтобы взбодриться требуется все больше чашек с этим ароматным спасителем. Но в какой-то момент мы замечаем, что зубы приобретают все более интенсивный желтый, а местами даже коричневый оттенок.
Что делать? Бить тревогу? Отказываться от любимого напитка? Или смириться с живописным рисунком на зубной эмали и просто перестать улыбаться?
Все это, конечно, не выход. Тем более, что сегодня существует множество способов поддерживать здоровье и белизну зубов, не изменяя своим привычкам. Разберемся, как кофе влияет на зубы, рассмотрим самые популярные и эффективные способы, которые помогают избавляться от налета.
Пятна, налет от кофе на зубах: как отбелить средствами из аптеки?
Аптечными средствами:
Отбеливающие зубные пасты в сочетании с жесткими щетками.
Электрическая зубная щетка. Большая скорость позволяет сделать тщательную очистку зубов за короткое время от свежего желтого налета.
Отбеливающие полоски. Эффективный, но очень дорогостоящий способ. Для отбеливания, достаточно наклеить полоски на зубы, подержать 30 минут. Результат достигается после 2-х недельного применения.
Гели для отбеливания зубов. Безопасное и доступное средство. Нанесите на чистую поверхность зубов. Постепенно гель растворится. Наносится ежедневно, до получения желаемого результата. Но не более 2-х недель подряд.
Отбеливающие капы. Очень эффективное средство. Отбеливает самую застаревшую желтизну
Применять следует очень осторожно. Строго по инструкции
Передозировка может привести к уничтожению эмали.
Стики для отбеливания. Мягкое отбеливающее средство. Более подходит для предотвращения налета. Применяют, чаще всего, после непосредственного употребления кофе, для снятия свежего налета
Видео: Налет на зубах. Отчего желтеют зубы?
- Когда, с какого возраста нужно начинать чистить зубы ребенку: советы стоматологов.
- Как поддерживать зубы белыми: правила, советы стоматологов для белых зубов
- Лучшие зубные пасты, убирающие камень: рейтинг.
- Болит здоровый зуб: причины. Почему болит здоровый зуб мудрости при нажатии, после лечения?
- Стоит ли и как лечить зуб мудрости: советы, отзывы, осложнения
- Как снять чувствительность зубов в домашних условиях?
- Боль после удаления нерва, зуба: причины, лечение.
- Сколько зубов у взрослого человека во рту в норме — Анатомия
- Как укрепить десна, если шатаются зубы при пародонтозе, гингивите, пародонтите?
- Опухшая щека после удаления зуба, что делать?
- Лунный календарь для лечения зубов: таблица.
- Неправильный прикус у взрослых. Как выровнять зубы?
- Воспаление десен: признаки и причины, лечение медикаментозное и народными средствами, профилактика
- Отбеливание зубов. Как отбелить зубы в домашних условиях?
- Как убрать налет на зубах? Как удалить зубной налет в домашних условиях?
- Что такое виниры? Виниры на зубы: плюсы и минусы, фото до и после
- Пятна, налет от кофе на зубах: как отбелить? Как пить кофе, чтобы зубы не желтели?
Почему от кофе желтеют зубы
Зубная эмаль отличается пористой структурой, поэтому в нее легко проникают различные пигменты, которые в изобилии имеются в некоторых продуктах. Из-за оседания хромогенов (красящих молекул) на поверхности зубов образуются некрасивые пятна. Кроме того, на окрашивание эмали влияют дубильные вещества – танины. Они-то и содержатся в кофе, чае, вине и других продуктах. Эффективность проникновения красителей зависит не только от цвета пищи, но и от ее кислотности.
Кроме того, способствующим фактором является температура. От тепла зуб расширяется и красящим веществам становится еще легче проникать в эмаль.
Постепенно танины, содержащиеся в кофе, накапливаются и образуют желтый налет. При хорошей гигиене полости рта это происходит медленнее, качественные специализированные пасты способны удалить до 90% потемнений. И все же желтизна будет проявляться благодаря царапинам на эмали и наличию труднодоступных мест. Поэтому, чтобы убирать ее потребуются периодические кабинетные чистки. В зависимости от ухода и особенностей организма необходимость в процедурах возникает один – два раза в год.
Почему вреден налет от кофе на зубах
Сам по себе налет от кофе кажется лишь косметической проблемой, но на деле он таит множество опасностей для здоровья ваших зубов. В кофе входят вещества, такие как сахара, например, которые формируют в полости рта питательную среду для бактерий. Они и их продукты жизнедеятельности вызывают развитие кариеса и воспаление ткани, а также увеличение количества налета. Его дальнейшая минерализация приводит к появлению зубных камней, меняющих структуру эмали и травмирующих десны.
Консультация гигиениста
До этого обращения молодой человек еще ни разу не был у гигиениста, но слышал от знакомых, что при помощи профессиональной чистки зубов можно убрать самые стойкие пятна без повреждения эмали. Гигиенист Татьяна Кондратьева провела осмотр, выяснила, что молодой человек не курит, но пьет много кофе. Темные пятна на зубах – это пигментированный зубной налет. Пигментные вещества из кофе и крепкого чая окрашивают твердый налет на зубах, и эти пятна очень сложно очистить домашними средствами.
На внутренней поверхности зубов образовался зубной камень, который отдавливает десну от зубов, открывая инфекции путь к корням зубов, нарушая кровообращение в деснах. Зубной камень является причиной неприятного запаха изо рта.

Гигиенист нанесла на зубы пациента индикатор зубного налета, чтобы выяснить результативность самостоятельной гигиены.

Окрашивание в фиолетовый цвет вдоль десен показывает, что эти места надо чистить более тщательно. Передние зубы немного больше по размеру, чем соседние, поэтому молодой человек не захватывает верхушки зубов при чистке. На эти места надо обратить больше внимания, производя при чистке смахивающие движения щеткой, от десны к краю зубов, захватывая и поверхность десны тоже.
Определение кислотности слюны помогает выявить риск развития кариеса и необходимость более частого посещения стоматолога для осмотра. В данном случае кислотность слюны слабощелочная, повышенного риска кариеса нет.

























































